牙周刮治
患者 女 60
主訴:右下牙經常腫痛,松動。近3日腫痛加重,要求拔除。
既往史:平素身體健康,無糖尿病及高血壓病史,無藥物過敏史。
檢查:下頜 46 牙位,牙冠完整。牙齦處腫脹,叩診輕微疼痛。2度松動,牙周袋深達5MM。47牙位缺失,一直未曾鑲復。
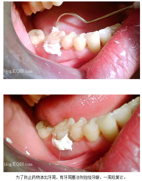
治療計劃:考慮到下頜第一磨牙的重要性,和患者溝通采取保守治療,盡量保留患牙。因該牙屬于牙周牙髓聯合病變,所以決定先從牙周治療入手。進行牙周刮治術,然后在行根管治療。






來自網絡
下一篇:牙周刮治跟洗牙是否一回事?上一篇:牙周刮治會不會把牙齒“刮”掉呢?
此文關鍵字:邦卡超聲潔牙機-磁致伸縮















