牙齦退縮后行牙齦美學手術一例
主訴 病史
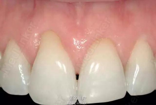
48歲女性,上中切牙牙齦退縮,要求解決美觀問題

查體 輔查
右上中切牙有4mm牙齦退縮,左上中切牙有2mm牙齦退縮,牙根暴露
診斷 處理
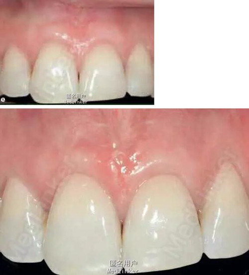
診斷:牙齦退群 治療:牙齦美學修復 圖2在唇系帶旁做直達骨膜下的隧道式切口,從中切牙的齦溝到膜齦聯合全程剝離以利于牙齦冠向復位時釋放壓力 圖3在隧道內放入可吸收的膠原膜,冠向復位齦緣,并用縫線固定齦緣及里面的膠原膜,然后再將縫線打結,結頭用復合樹脂粘接在牙冠中1/3。 圖4正中的切口位置和壓力接近,用6個0縫線縫合。


隨訪 討論
術后三周拆線,下圖分別為術后12個月后及術后35個月后,效果非常好,患者非常滿意

來源:陳醫(yī)師 醫(yī)聯商城
下一篇:拔牙還要切開牙齦—揭秘你不知道的拔牙秘密上一篇:粘液腺囊腫切除術
此文關鍵字:宇森口外45度拔牙手機
相關資訊
- 《鼓浪嶼之波》鐘麗燕
- 追本溯源——早期傳統(tǒng)功能矯治器概論
- 徐霞《我心芬芳》
- 頜位關系的垂直高度與水平關系
- 功能性全口吸附性義齒-李方明
- 美國人唱《敖包相會》
- 口腔治療術前全身系統(tǒng)疾病評估
- 《美麗的草原我的家》鐘麗燕
- 口腔各科治療需要關注牙周健康-北大口腔張鳳秋
- 《我不會放棄》杰森·瑪耶茲_鄭成河
推薦產品

- 震撼上市——宇森超聲骨刀
- 震撼上市——宇森超聲骨刀 訂購熱線17791999852

- 邦卡(通力)牌水路消毒儀
- 邦卡(通力)牌水路消毒儀,行業(yè)標準制定方之一。

- 凌天機擴銼
- 凌天機擴銼(鎳鈦)售價:60元一板(5支)












