寫在前言,這是自己第二次在KQ88上寫的病例,初衷是想和各位老師請教問題形成的原因,病例資料收集的不夠充分,簡單修改即拿來投稿,請各位老師見諒!
今天完成的兩例完整根管治療病例,從中一點一滴吸取教訓(xùn)。其中的第二例,正常的手擴擴至20#,然后M3的機用銼,不知為何近中頰側(cè)就形成了臺階
先來第一個病例
初診照

拍片確定長度

第一次試主尖

第二次試主尖

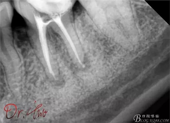
根充

重點第二例病例,初診

拍片確定長度

試主尖,近中頰側(cè)形成臺階

試主尖,近中頰側(cè)再次拍片查看臺階位置及確定長度

試主尖,近中頰側(cè)試主尖,此時手用銼02錐度的已擴到30號,可以明顯感覺到臺階位置,挫預(yù)彎后找好正確位置可順利到達根尖,但是機用銼就是下不去,也是郁悶

試主尖,在30號02錐度K挫到達根尖后,用02錐度牙膠尖找準位置,進行試尖

最后根充,明顯可看到臺階位置,期待預(yù)后效果

歡迎各位老師來拍磚指導(dǎo)
來源于kq88口腔醫(yī)學(xué)網(wǎng)




