























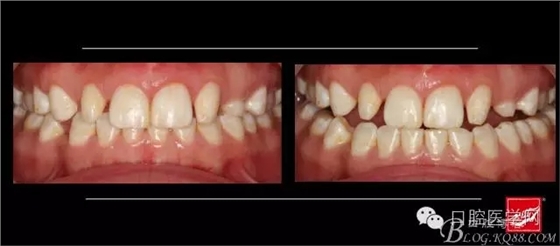
些復(fù)雜的病例不是來了就能夠直接進(jìn)行修復(fù)的,
為了達(dá)到更好的咬合關(guān)系,
為了達(dá)到更好地美學(xué)效果,
我們還要從整體的角度來考慮問題,
貼面的修復(fù)治療對前牙的過小牙,
以及乳牙都是最好的修復(fù)手段,
最后通過貼面的形態(tài)的改變修正前牙的過大間隙,
使在視覺方面達(dá)到美的錯覺統(tǒng)一。
來源于kq88口腔醫(yī)學(xué)網(wǎng)
029-88651307
2016年12月02日13:48 人氣:-
























些復(fù)雜的病例不是來了就能夠直接進(jìn)行修復(fù)的,
為了達(dá)到更好的咬合關(guān)系,
為了達(dá)到更好地美學(xué)效果,
我們還要從整體的角度來考慮問題,
貼面的修復(fù)治療對前牙的過小牙,
以及乳牙都是最好的修復(fù)手段,
最后通過貼面的形態(tài)的改變修正前牙的過大間隙,
使在視覺方面達(dá)到美的錯覺統(tǒng)一。
來源于kq88口腔醫(yī)學(xué)網(wǎng)