病例資料:
患者、女、梁xx、24歲。主訴:左側地包天,牙齒不整齊,要求矯正。??茩z查:左側23、33、34反合?;颊呤昵霸窝雷鲞^矯治。15、25、35、45缺失。全景片檢查:45牙根遺留,15、25 、35缺失。正畸科建議外科拔除45牙根。轉診外科:簽知情同意書。
外科過程:
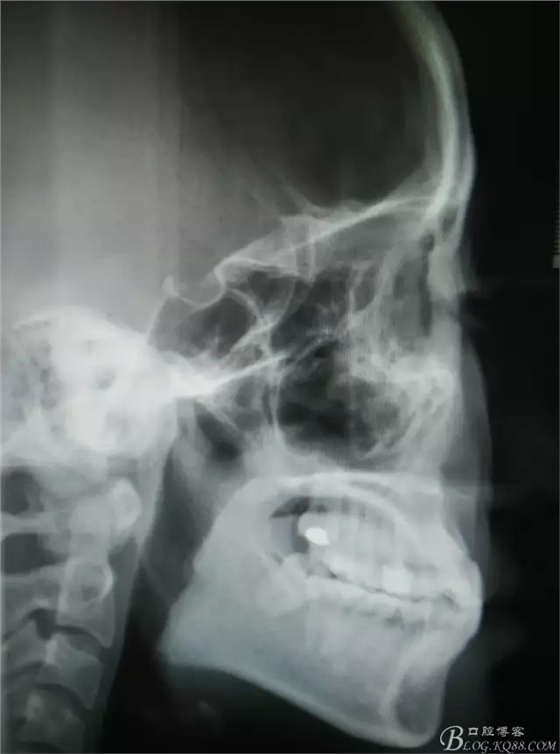
圖1.患者術前的全景片、側位片影像檢查:45牙根位于44與46之間,44與46鄰接緊密


圖2.術前正畸科的設計方案:建議拔除45牙根。
圖3.口內頰側像,46、44鄰接正常,兩個牙頰側牙齦乳頭正常。45牙根完全埋伏于齦下。

圖4.舌側觀牙齦乳頭正常。

圖5.局部麻醉下、在44近中做垂直小切口,切口不要超過膜齦聯合。

圖6.齦溝內水平切口

圖7.翻小瓣。暴露45牙根斷面

圖8.高速球鉆去骨約3mm.

圖9.暴露45頰側根面約1/2.牙根與44、46牙根緊緊相鄰。無法直接用挺。

圖10.高速裂鉆垂直分根

圖11.形成牙根中央一個約5mm長、2mm寬溝槽。

圖12.微創(chuàng)牙挺放入制備好的溝槽內。

圖13.取出一塊牙根。給余留 牙根騰出脫位空間

圖14.緩慢在余留牙根周圍用挺,挺松45余留牙根

圖15.挺松的45牙根,牙根已脫位至創(chuàng)口邊緣。

圖16.取出45牙根,牙槽窩完整、不變形。

圖17.清理牙槽窩,切口止于膜齦聯合處,這樣術后不腫脹。

圖18.放膠質銀

圖19.縫合

圖20.拔除的45牙根。

小貼士:
微創(chuàng)拔牙不僅在種植外科需要最大限度的保留骨組織。同樣,在正畸領域,微創(chuàng)拔牙對骨組織的后期改建和正畸效果的好壞也至關重要。



