患者因上口瓷牙松動,下牙托戴不穩(wěn)求診。

把上下松動牙殘撥除后開始種植。先種下牙:

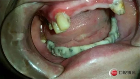
種完下牙以樹脂作夾板固定

然后種上牙:

再用樹脂處理上牙:

取牙模

烤瓷牙回來:

戴牙

開嘴效果

全過程約70日。因下牙槽骨較低,事前拍全景片。至今完成修復(fù)3個月,咀嚼效果良好。
來源:KQ88口腔博客
029-88651307
2017年10月23日16:41 人氣:-
患者因上口瓷牙松動,下牙托戴不穩(wěn)求診。

把上下松動牙殘撥除后開始種植。先種下牙:

種完下牙以樹脂作夾板固定

然后種上牙:

再用樹脂處理上牙:

取牙模

烤瓷牙回來:

戴牙

開嘴效果

全過程約70日。因下牙槽骨較低,事前拍全景片。至今完成修復(fù)3個月,咀嚼效果良好。
來源:KQ88口腔博客
《鼓浪嶼之波》鐘麗燕追本溯源——早期傳統(tǒng)功能矯治器概論徐霞《我心芬芳》頜位關(guān)系的垂直高度與水平關(guān)系功能性全口吸附性義齒-李方明
口腔衛(wèi)生技師將改變中國口腔CARIOSTAT 齲病易感性檢測試驗法介紹-幼兒園兒童齲易感風險篩查篇納極患齲風險體外診斷試劑——增菌培養(yǎng)基兒童口腔預(yù)防保健臺灣普力600二氧化氯消毒劑邦卡超聲潔牙磁致伸縮