近15年來患者由于左側(cè)牙齒無法咬碎食物,一直用右側(cè)后牙咀嚼,自覺臉型逐漸不對稱,要求修復左下后牙恢復咀嚼功能。
體健,無吸煙史。
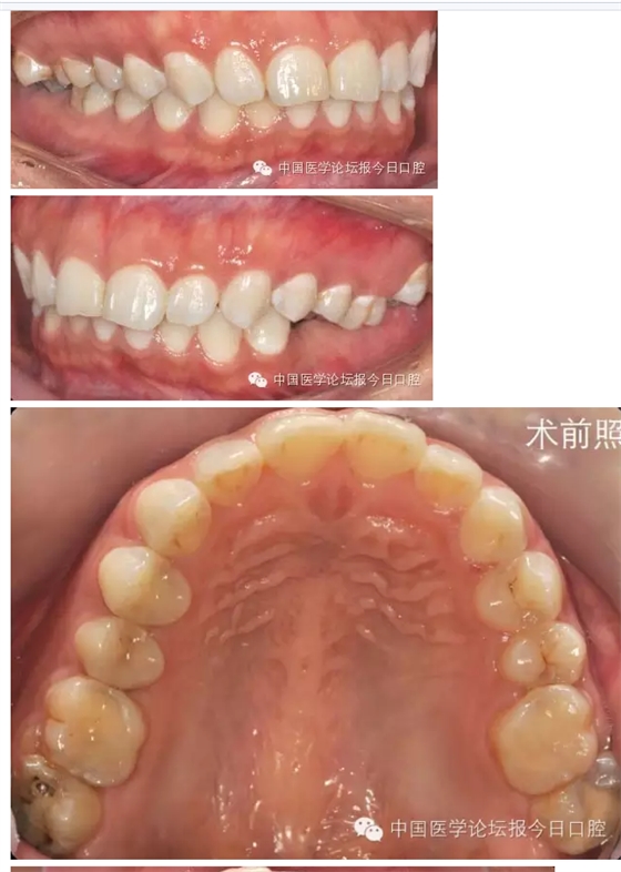
臨床檢查
患者臉型不對稱,右側(cè)大于左側(cè)。
牙周情況尚可,有少量牙結(jié)石,牙齦無明顯紅腫。35、36 缺失,25、26 過長,17 與47,27與37正鎖牙合,咬合時26、27 的牙尖頂?shù)綄︻M缺牙區(qū)牙槽嵴黏膜上。37、47死髓牙。
全口曲面體層片顯示:35、36缺失,缺牙區(qū)牙槽骨有足夠的骨高度,47未行根管治療,38、48近中阻生,18殘根,28頰面深齲近髓。


















轉(zhuǎn):中國醫(yī)學論壇報今日口腔


