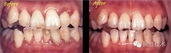
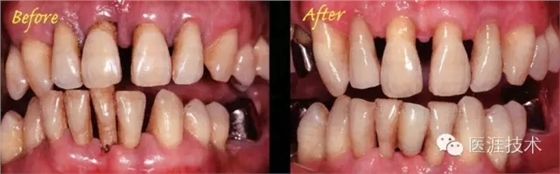
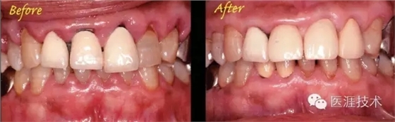
牙周病不僅炎癥程度不同,而且惡化的狀態(tài)和影響的因素也各不相同。因此,必須在牙周治療前進行牙周組織檢查,在充分掌握患者病情的基礎上,為患者提供最為合適的治療。
通過進行合適的牙周治療,大部分的牙周病病癥都會得到改善。牙周病的病態(tài)各不相同,同樣的,牙周治療后的治愈形態(tài)也是各不相同。通過牙周組織檢查,充分掌握病癥,努力改善牙周病。




來源于北京北一
029-88651307
2016年03月22日13:55 人氣:-
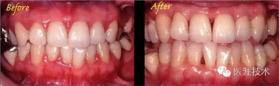
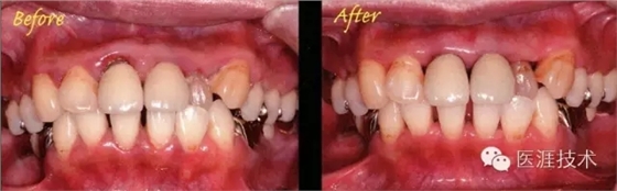
牙周病不僅炎癥程度不同,而且惡化的狀態(tài)和影響的因素也各不相同。因此,必須在牙周治療前進行牙周組織檢查,在充分掌握患者病情的基礎上,為患者提供最為合適的治療。
通過進行合適的牙周治療,大部分的牙周病病癥都會得到改善。牙周病的病態(tài)各不相同,同樣的,牙周治療后的治愈形態(tài)也是各不相同。通過牙周組織檢查,充分掌握病癥,努力改善牙周病。




來源于北京北一