圖解:前牙間隙關閉過程
作者:潘衛(wèi)紅 副主任醫(yī)師 副教授
在臨床治療的過程中,有不少患者因為前牙間隙過大而苦惱不堪,或是因為食物嵌塞,或是因為美觀問題,但是有些患者無法接受大量磨除牙體組織來取得良好的修復效果,今天我就給大家介紹一種少量磨牙而又有相同美觀效果的治療方法。
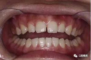
治療前:可以看見這位患者兩前牙之間間隙明顯增寬,右側中切牙牙冠稍短于左側

比色:在正式開始治療之前,選取最合適患者的顏色

隔濕:充分隔濕往往是口腔治療的關鍵步驟

正式開始治療
①備牙:少量磨除患牙,使治療的牙齒稍粗糙,便于材料的粘接固定

②酸蝕:酸蝕的目的是使牙面呈蜂窩狀,讓樹脂與患牙充分接觸

③ 涂布粘接劑:均勻涂布一層薄薄的粘接劑

④光固化:光照使樹脂充分固化

⑤放置導板:導板是在治療開始之前取模制作,這可是私人個性化定制哦!

⑥填充樹脂:導板提示我們樹脂填充的量和方向

⑦打磨拋光:先拋光唇面,再拋光鄰面,拋光使牙齒光滑舒適,提高牙齒的自潔功效

大功告成!
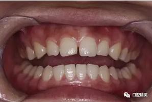
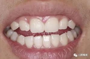
讓我們看看治療前后的差別吧!
治療前:

治療后:

我們堅持這種理念:最大限度的保護正常的牙體組織。在這個過程中,我們稍微磨一點點牙齒表面,甚至縮齦線都沒有上,照樣可以達到令患者滿意的效果。
來源:網絡
此文關鍵字:圖解:前牙間隙關閉過程
相關資訊
- 《鼓浪嶼之波》鐘麗燕
- 追本溯源——早期傳統功能矯治器概論
- 徐霞《我心芬芳》
- 頜位關系的垂直高度與水平關系
- 功能性全口吸附性義齒-李方明
- 美國人唱《敖包相會》
- 口腔治療術前全身系統疾病評估
- 《美麗的草原我的家》鐘麗燕
- 口腔各科治療需要關注牙周健康-北大口腔張鳳秋
- 《我不會放棄》杰森·瑪耶茲_鄭成河
推薦產品

- 納極患齲風險體外診斷試劑——增菌培養(yǎng)基
- 納極口腔科技秦皇島有限公司納極患齲風險體外診斷試劑——增菌培養(yǎng)基,用于齲易感性檢測 ,口腔齲齒早期診斷,預知齲齒風險,早期預防干預,適合口腔科和兒??企w檢宣教。 科貿嘉友口腔029-88651307

- 德國奧一車針
- 德國奧一車針涵蓋2000余款,國際標準柄徑,更加有效地保護您的手機軸承!科貿嘉友029-88651307

- 宇森電動馬達
- 宇森牙科電動馬達,速度可調、可控、備牙穩(wěn)定,可避免備牙不平整波紋狀,破冠削鐵如泥,并減少醫(yī)源性穿髓,效率高,提升門診技術水平??瀑Q嘉友口腔029-88651307












