后牙烤瓷橋備牙全過程
昨天我和一個醫(yī)生配合,把一例后牙烤瓷橋的備牙全過程記錄下來,有些照片是他照的,有些是我照的,照片效果可能不是很好,圖解一一經(jīng)過如下:
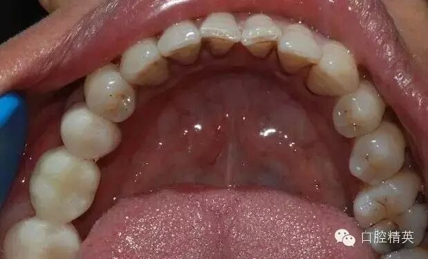
46缺失,不考慮種植牙,45、47做基牙,固定烤瓷橋修復;這是口內的情況

咬合時的情況

比色

(少了一張頜面的制備照片),頰面引導溝的制備

頰面磨除后

鄰面的制備,先用較細的金剛砂車針貼基牙鄰面制備,勿損傷鄰牙

鄰面制備完成后

修整后

排齦后,制備肩臺

檢查咬合的情況

鎢鋼車針拋光修整

鎢鋼陳針拋光后的

47頜面的引導溝制備

磨除后的頜面

頰面和鄰面的制備

簡單制備完成后,檢查咬合的距離

拋光后的

臨時冠

印模制取臨時冠


臨時冠頜面觀

模型照片

固定之后
下一篇:二氧化鋯全瓷牙和金屬烤瓷牙的區(qū)別上一篇:后牙烤瓷橋備牙全過程
此文關鍵字:后牙烤瓷橋備牙全過程
相關資訊
推薦產品

- 邦卡專利設計智能石膏沉淀器
- 邦卡專利設計智能石膏沉淀器,新開牙科設備,新開牙科技工室必備,環(huán)保檢測必備設備??萍脊な冶貍洹?/dd>

- 宇森超聲根管蕩洗器
- 宇森超聲根管蕩洗器

- 牙模-牙科模型1.2米
- 售價:1500元, 產品特點: 1、高1.2m,高分子材料,外形烤漆,防水耐光照; 2、底部帶滑輪,便于移動; 3、可安裝光控或聲控(選配380元)。












